前几天湛江一个9岁的小男孩和朋友玩的时候不小心摔倒了头。然而,他“每朵云都有一线希望”,意外地在他的头骨中发现了一个鸡蛋大小的肿瘤。奇怪的是,虽然肿瘤不小,但男孩之前并没有身体不适。
#1
爱玩好动是孩子的天性,孩子在生活中难免会遇到一些磕磕碰碰的事情。前段时间,住在湛江的一个名叫周晓(化名)的9岁男孩在玩耍时不小心摔倒在头上。当时,血从伤口涌出。父母很担心,急忙送孩子去医院。其他医院的医生告诉我,伤口没事,但进一步做头部CT检查时,意外发现了浮桥鞍右侧的囊实性占位病变,怀疑是脑肿瘤。在朋友的介绍下,妈妈周晓第三天就带着孩子去了广东三九脑科医院。

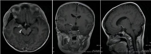
术前影像检查
我院影像学检查提示患儿鞍右侧有囊实性占位性病变。右心室梗阻性脑积水。神经内科主任穆林森仔细研究了患儿的影像学检查结果,初步怀疑是良性脑肿瘤。根据成像数据,病变大约有一个鸡蛋大小。穆林森建议早期手术切除。
经过多方讨论,神经内科九科团队为患儿实施手术,成功切除肿瘤约5.6cm4.4cm6.3cm,术后病理结果提示颅咽管瘤。
#2
看到医生从孩子头上“切”出一个鸡蛋大小的肿瘤,一家人都非常惊讶。“临床上,这是一个很大的脑瘤。”穆林森介绍,颅咽管瘤是一种生长缓慢的良性肿瘤,位于鞍区或鞍旁区。它的发病是隐蔽的,可能已经“藏”在孩子的脑袋里一段时间了。
但是家长们还是不明白,既然这个像鸡蛋一样大的肿瘤已经在孩子的脑袋里好几年了,船上怎么会一点症状都没有呢?面对家属的疑惑,穆林森耐心地解释道:“良性脑肿瘤的初期症状通常不明显,尤其是肿瘤不压迫任何脑组织时,患者几乎不会感到明显不适。因此,在临床实践中,发现很多肿瘤患儿因为意外受伤而出现肿瘤。”
#3

术后复查
近年来,儿童肿瘤人数逐年增加,已成为儿童死亡的第二大原因。颅咽管瘤是儿童常见的脑肿瘤,手术切除后预后良好。住院一段时间后,船又恢复了活力,没有任何后遗症,蹦蹦跳跳地出院了。
穆林森说,颅咽管瘤患儿常表现为头痛和视力下降,其次是生长发育迟缓,儿童的表达不如成人清晰,容易被忽视。他特别提醒家长,如果发现孩子持续出现异常症状,要引起重视,以免错过早期诊断和最佳治疗的机会,影响孩子未来的成长。
内容来源网络,如有侵权,联系删除,本文地址:https://www.230890.com/zhan/48030.html
