
汪孜 Wendy
儿童主治医师,中华口腔医学会儿童牙科学会会员,主管牙科工作。他有10多年的临床经验,曾多次在日本东京牙科大学学习。日本监护人认证,澳大利亚MRC矫正中级认证医师,芬兰LM儿童矫正和面部管理认证医师。去东京牙科大学和门诊学习最新的口腔预防技术。国家图画书讲师。
“不行,我不同意,拍牙片会损伤我孩子的智力,如果看不好,我就不在你这里看牙了,看不好牙当什么医生”家长情绪很激动向我吼道。
“孩子的牙龈上长了脓包,初步判断是根尖周炎,需要拍牙片,确认一下乳牙牙根吸收情况以及恒牙胚的发育情况,我们才好更准确的给予治疗方案,更何况孩子还在换牙期。。。”陆医生耐心地解释道。
可没等陆医生说完,这位男孩的妈妈拉起孩子摔门而出。


家长对牙科电影了解多少?你认为拍牙科照片对孩子的智力有害吗?你不能带着这颗黑白相间的牙齿。牙齿在牙齿治疗中非常非常重要!

什么是牙片?牙科常见的X线片的统称。
x线检查是目前最常用的辅助检查方法,可用于龋齿、牙髓炎、根尖周病、牙周病、口腔颌面部感染、外伤、先天性发育不良、良恶性肿瘤等疾病的辅助检查。
第一种是以检查单颗牙齿为目的的根尖片。
小牙片小,等于两个手指的宽度,而且薄,图像上可以显示2-3颗牙齿。因此,牙医想要观察单颗牙齿时,会拍下细小的牙齿切片,尤其是在做牙齿根管治疗时,需要拍照显示牙根的长度和治疗效果。此外,根尖片对于儿童牙齿外伤的初步诊断和复查也是必不可少的。

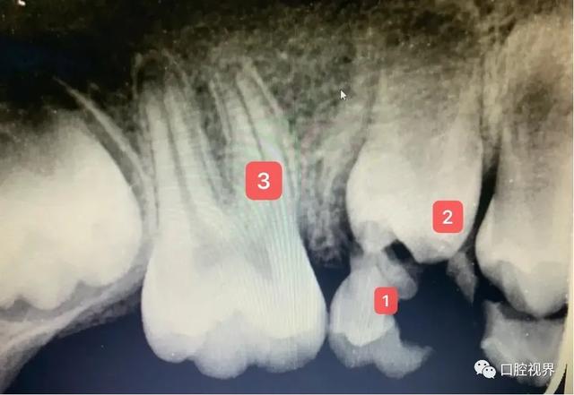
如图中标记1所示,龋齿乳牙可以被完全吸收,无需治疗就可以直接拔除。
如图2所示,待萌出恒牙的牙根尚处于发育阶段,但即将从牙龈中萌出,提示与上乳牙根尖周改变有关。(我从牙片中更直观地感受到为什么牙医要强调乳牙健康的重要性)。
如图中标记3所示,第一颗几乎发育完全的恒牙(六岁牙),牙冠最大,咀嚼能力最强,最早。
萌出的大牙。要好好保护好。
第二种是以检查全口牙齿的整体情况为目的的全景片。
全景片可以拍摄到所有牙齿的形态,位置以及颌骨内的情况。特别是儿童,可以观察到乳恒牙发育的整体状况,了解牙齿数目,牙间关系和牙齿替换的情况,同时乳牙牙根吸收情况,恒牙萌出方向以及上下颌骨的情况。

如图所示,数一数有44颗牙齿,每个牙齿的发育阶段都不一样,有正在钙化的牙齿,有牙根还未发育完全的牙齿,有牙根已经形成的牙齿,等等。
有了牙片,医生可以很好地从图片上看出问题,有牙齿该掉的时候不掉,该长的时候不长,乳牙滞留了,需要尽快拔除。
另外图片上还能够看出是否有多生牙,以及多生牙的位置是否会阻挡换牙,特别是需要拔智齿的朋友,医生都会建议拍牙片,才知道智齿牙根的数量位置,制定相对应的拔除方案。
第三种就是牙科CT,即可以展现牙齿以及颌骨的三维立体结构的影响片。
用于口腔颌面部硬组织的检查,包括根尖周病变,颞下颌关节疾病以及肿瘤,外伤,畸形等疾病的诊断。

牙科CT可以多角度地真实再现颌骨,牙齿的内部结构和各组织结构的毗邻关系。
除外,还有其他形式的牙科X线片,每种X线片都有不同的检查目的。医生也会根据孩子的具体情况,检查的目的,选择拍摄需要来X线片。

结论:牙片是牙科医生重要的辅助治疗手段,完整的牙齿三分之一在口腔内我们叫做牙冠,另外三分之二在牙槽骨中,我们叫牙根。牙根变异多,医生只有通过影像检查才能给出准确的治疗方案,因此非常非常重要。

问题来了,很多人都知道照射X线片对身体不好,甚至有家长认为会影响智力,那究竟牙科X线片有多少辐射呢?
其实,在日常生活中,无时无刻不处于辐射之中。其中75%来源于大自然,25%来源于人工辐射,比如电视,手机,电脑等都有辐射。

一张小牙片的辐射剂量为4-5微西弗,全景片为7微西弗左右,牙科CT约100微西弗。这些数值可因放射仪器的配置,使用参数和拍摄时的设置而略不同。随着现代科技的发展,传统的X线胶片已被数字化影像片取代,辐射量也大大减少。
根据联合国原子辐射效应科学委员会提供的信息,10小时航空飞行的辐射量为30微西弗。这就是说,一张小牙片的辐射剂量相当于乘坐1小时多的飞机的辐射。
在牙科治疗中,牙医会根据病情来决定选择何种放射检查类型,并且也不会过多地频繁地做CT检查,而辐射剂量微小的牙片可能在牙齿治疗前后需要多次拍摄,但对于我们身体来说健康并无损伤。

过量的辐射对人体有损伤,合理运用,自我防护
过量的辐射会损伤,改变,破坏细胞的DNA,从而成为一些肿瘤疾病或基因相关疾病的致病因素。国家放射防护委员会认为,对于一些病人,超过50毫西弗的剂量就要考虑罹患癌症的风险,但没有直接证据显示低于10毫西弗(即10000微西弗)的剂量会对人体造成危害。

这些剂量远远大于我们日常生活中以及实际所做的X线片检查的辐射剂量,所以必要的牙科X线检查是安全,无损健康的。

X线片的照射是不会影响孩子智商
智力商数,简称智商,是一种表示人的智力高低的数量指标,他也可以表现为一个人对知识的掌握程度,反映人的观察力,记忆力,思维力,想象力,创造力以及分析问题和解决问题的能力。

最新的研究表明,智商不单是与遗传因素有关,还有生活环境有关。但并没有证明X射线对智力的影响。
综上所述,牙科治疗中,拍摄X线片是很有必要,且对诊疗有重要的意义。辐射剂量微小时完全不会影响孩子的智商。
希望家长不需过度的担忧,何不妨多花时间给孩子做好口腔健康的维护呢?

内容来源网络,如有侵权,联系删除,本文地址:https://www.230890.com/zhan/45162.html
