情况
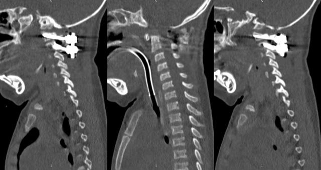
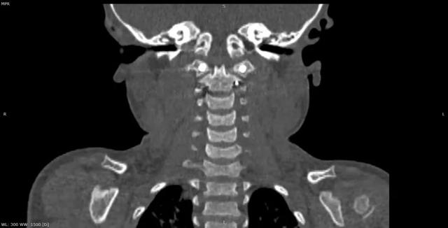
al-align:top;”> 孩子,望你早日康复! 这是一个关于 2岁宝贝的故事 为何这个幼儿平地摔倒,外表毫无受伤痕迹,却出现全身瘫痪,甚至呼吸功能衰竭? …… 为何凌晨时分,重医一院急诊科传来了救护车急促的汽笛声? …… 病史 患儿女,2岁零11个月; 于家中玩耍时平地跌倒致短暂意识丧失,苏醒后四肢瘫痪,自主呼吸微弱,病情危急! 为什么? 影像 患儿在当地医院作了急诊CT检查,发现…… CT显示:寰枢关节不稳 MRI:患儿呼吸不好,病情已不允许作了 分析 1. 尽管没有MRI检查,但根据CT显示的寰枢椎不稳,结合患儿四肢瘫痪,自主呼吸微弱的症状,颈延髓损伤明确; 2. 临床诊断:1)寰枢椎脱位 2)颈延髓损伤 怎么办? 方案 刻不容缓,做急诊手术准备! 寰枢关节不稳必须立即解决,否则有延髓再损伤的风险! 急诊手术:“寰枢椎复位+颈1-2融合内固定术+后路寰枕减压” 难点 患儿年龄小且发育较差,身高较同龄幼儿少10cm,体重仅仅11kg,上颈椎手术本就属脊柱高危手术之一,而幼儿的上颈椎骨质细小,在幼儿的上颈椎进行内固定手术,更是难上加难; 经验 重庆医科大学附属第一医院虽然是一所主要面向成人的综合性医院,但本院神经外科脊柱亚专业组,在幼儿脊柱手术方面具有丰富经验,尤其是对幼儿上颈椎损伤、颅底凹陷、先天性颅颈畸形、寰枢椎脱位等疾病,手术技术娴熟,成功完成过从2岁至13岁不同年龄幼儿的上颈椎手术。 既往病例文章分享: # 从13岁到2岁 # 一例“复杂”幼儿颅颈畸形 # 挑战幼儿 —— 3岁11月颅颈畸形手术病例分享 # 病例分享 || 幼儿复杂颅颈畸形 ……………… 本例患儿的手术在入院后2小时立即进行,并成功完成。解决了患儿寰枢椎不稳的风险,为其后续治疗的安全性提供了强有力的保障。 术后情况 术后CT示寰枢椎完美复位,寰枕区减压充分, 避免了患儿颈延髓神经功能二次损伤可能,为康复争取时间! 小宝贝术后虽然颈椎稳定了, 也减压了。 但是一时还无法脱离呼吸机, 也无法离开监护室, 无法见到自己爸爸妈妈! 不要害怕,宝贝! 重医一院神经外科脊柱亚专业组 和神经重症亚专业组的叔叔阿姨们 以及神经外科的护士小姐姐们, 会一直守护在你身边, 为你保驾护航! 宝贝加油! 相信你一定能战胜病魔,茁壮成长! 老晏说 幼儿脊柱疾病,亦在重庆医科大学附一院神经外科!









