近年来,由于社会竞争日益激烈,人们受教育水平的提高,职业女性数量不断增加,我国女性平均生育年龄呈上升趋势,特别是随着二胎政策的放开,高龄孕妇数量急剧增加。
在广东省生殖医院优生门诊,大龄准妈妈经常来咨询这个年龄怀孕会不会影响宝宝的出生。
本期,广东生殖边肖就这一知识点给出了详细解答。
一、多少岁以上属于高龄妊娠?
这是大家都很关心的问题。总的来说,医学上将35岁以上的妊娠女性称为高龄孕妇. 35岁以后,女性的生育能力逐渐下降,妊娠结局与适宜年龄的孕妇有显著差异。近10年来,随着围产期医学的发展和妊娠管理水平的提高,在临床实践中,大多数35-40岁的孕妇仍能获得良好的妊娠结局。
二、高龄妊娠对宝宝有何影响?
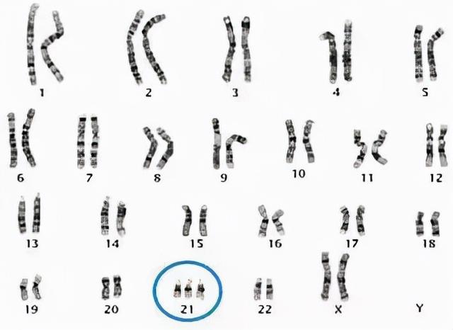
染色体异常
染色体是遗传物质的载体,染色体上分布着大量的基因。染色体异常会导致多器官功能异常。在严重的情况下,胚胎可能在发育早期死亡,并自发流产。少数染色体异常患者可存活至出生,但常伴有身体畸形、智力低下、发育迟缓等症状。
随着孕妇年龄的增加,婴儿染色体异常率明显增加。最常见的染色体数目异常是唐氏综合征(21三体综合征),在1/1500的学龄妇女中发病率较低,但在35岁的孕妇中发病率已增至1/270~1/200,40岁时甚至增至1/109。到了45岁,风险高达1/50。此外,研究已经证明,患有唐氏综合征症的儿童中大约90%的额外21号染色体来自他们的母亲。

先天畸形
研究发现,孕妇年龄越大,其婴儿先天畸形的概率越高。尤其是40岁以上的孕妇,胎儿畸形率高达14.15%。此外,由于生育率下降,老年妇女经常使用辅助生殖技术,这避免了自然受精过程中的许多自然障碍。因此,各种先天性畸形如先天性唇腭裂、开放性神经管畸形、脑积水、心脏畸形等的发病率也随之增加。幸运的是,大多数先天畸形都可以通过产前诊断发现,这可以有效防止孩子出生。
流产率增加
随着孕妇年龄的增加,胚胎染色体异常和畸形的发生率增加,早期流产和部分原因不明的胚胎停止发育的发生率增加。尤其是有妊娠并发症的高龄孕妇,流产和死胎的风险更高。
高龄妊娠,宝宝染色体异常、先天畸形的风险会增加。
目前还没有有效的治疗方法,只有产前诊断才能避免孩子的出生。目前,无创产前DNA检测通过提取孕妇静脉血,并进行测序分析,可以检测胎儿是否患有21三体、18三体和13三体,准确率为99%。不管你老不老,定期产检是生下健康宝宝的最大保障!
专家介绍

广东省生殖医院首席专家。
主任医师兼优生学教授。
暨南大学硕士生导师。
广东省优生优育协会副会长。
原广东省医学会计划生育分会主任委员。
曾获奖项
2004年被省委宣传部、省科协授予省科普先进个人。
2007年,他光荣地被选为省政府职务的先锋。
2011年获“十一五”计划生育优秀成果二等奖。
专业领域
主要从事优生优育、性与生殖健康的临床服务、科学研究和技术培训。他在优生遗传咨询、遗传性不孕症诊治、性与生殖健康咨询诊断等方面积累了丰富的经验。作为第一负责人,她承担了世界卫生组织和联合国儿童基金会、国家支持计划和省人口和计划生育委员会的许多项目,发表了超过
内容来源网络,如有侵权,联系删除,本文地址:https://www.230890.com/zhan/62722.html
