
作者 | 徐典典
越来越多的父母开始关注孩子的身高体重了,这是好事。
但是很少有人关注到孩子的牙齿。
看过这样一个案例:3岁的小女孩,一口乳牙竟然全部烂光了。
父母带孩子去口腔医院检查时,连医生都惊呆了:20颗乳牙全部坏掉,连牙根都是黑的!大部分乳牙已经烂得只剩下牙根了,就连门牙也烂掉了一大半……
家长告诉医生,孩子从没刷过牙,经常在晚上睡前喝奶,喝完了也不漱口。大人也由着孩子,总觉得乳牙坏了也没事,反正以后还会换的。直到孩子吃饭都有困难了,才想到来看医生。
这种情况绝不是个例。调查显示,我国儿童患龋齿的比例高达66%。

图片来源:苏州口腔医院
罪魁祸首就是家长不重视孩子的口腔卫生,总以为孩子还小,等到换牙的时候自然就好了。
有很多家长都对孩子的牙齿问题一知半解,导致出现问题时不能及时发现。
比如,有的家长从来不检查孩子的嘴巴,患了龋齿根本发现不了;
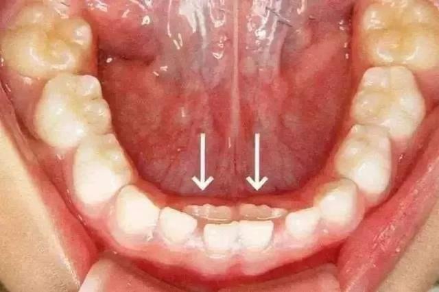
有的孩子长了双排牙,家人也迟迟没发现;
有的家长完全不清楚,孩子几岁该换什么牙……

双排牙。图片来源:苏州口腔医院
医生建议,孩子的口腔问题,从第一颗乳牙萌出开始,家长就要重视起来了。
乳牙不好,直接关系到成年后是否拥有一口健康漂亮的牙齿,甚至影响孩子一生的口腔健康。

家长经常出现的几个认知误区
虽然乳牙早晚会换掉,但是乳牙不健康,后面的恒牙也好不到哪里去。
大多数孩子第一次换牙是在6岁左右,也有少数提前或推后的情况。
下面这张表,建议家长们收藏,对孩子的换牙顺序做到心中有数。

有不少家长,就是因为不关注换牙顺序,平时也不检查孩子口腔,等到双排牙长出好一段时间了才发现,然后急匆匆地带孩子去医院拔牙……
还有的家长,对孩子的牙齿问题有不少误解。
你是不是也经常听到下面这些话:
- 乳牙坏了不用治,反正迟早会换掉
一位爸爸带7岁的儿子去医院看牙。本来是个挺好看的孩子,一张嘴,颜值就打了折扣。
原来孩子牙上布满了色素沉淀,小小年纪已经有了轻微的牙结石,一看就是平时刷牙很马虎。关键是还长了2颗龋齿!
这位爸爸来医院只是想给孩子弄得美观一点,问能不能把牙齿洗白。
医生告诉他,色素沉淀是小事,洗个牙就能解决,平时让孩子仔细刷牙就行了,但是龋齿得治。
他问医生:“龋齿不要紧吧,不是很快就要换牙了吗?”
在他眼里,龋齿是不用治的,换牙了就没事了。
其实不然。发现乳牙龋齿一定要及时治疗。
小洞不补,大洞吃苦。一个小浅洞,简单补一下就行,痛苦很小。
一般来说,不治是不能自愈的。
要是等到牙疼得厉害,甚至肿起来再治,可就麻烦了。不但影响美观,很可能还会造成后面的恒牙发育不良,甚至停止发育,影响到正常的咀嚼功能和面部发育。
- 小孩子不用刷牙
一些孩子不爱刷牙,家长也就听之任之,不想刷就不刷吧,反而小孩子的嘴巴很干净,等大点了再刷也不迟。
这大错特错。儿童高发的龋齿问题,就是由于口腔清洁不到位导致的。
龋齿俗称虫牙、蛀牙,但并不是由肉眼可见的小虫子咬的,而是牙齿表面的细菌在作怪。

细菌以糖为养料,能够把糖变成酸。牙齿虽然很硬,但容易受到酸的侵蚀,时间长了就会出现龋洞。
特别是新长出的牙和发育不良的牙,对酸的抵抗力更弱,更容易患上龋齿。
- 孩子小就得吃得精细点
有不少家长,特意把孩子的食物切得很碎,方便孩子吞咽。然而,吃得太精细反而不利于牙齿发育,孩子的咀嚼功能得不到锻炼,更容易出现双排牙和龋齿问题。
牙齿不好,全身受累。
为了让孩子拥有一口健康漂亮的牙齿,从孩子出生后开始,家长就要重视起来。

孩子几岁开始刷牙?
答案是,出生后就开始。
乳牙萌出之前,家长可以用干净的纱布包裹住手指,蘸白开水,轻轻擦拭宝宝口腔,每天早晚各一次。
第一颗乳牙萌出后,改用带毛刷的硅胶指套为宝宝刷牙。这样既可以清理牙齿,也可以让宝宝提前适应刷牙的感觉。

在宝宝2-2.5岁,乳牙基本上完全萌出之后,逐渐过渡到用幼儿牙刷为孩子刷牙。
需要注意的是,一开始给孩子用牙刷刷牙时,可以只用白开水或淡盐水。等到孩子学会了漱口,可以把牙膏吐出来时,再改用牙膏刷牙。
儿科医生崔玉涛说,宝宝出牙后就开始刷牙,不仅是保护牙齿,也是让宝宝及早适应。
很多家长抱怨孩子不肯刷牙,往往是因为开始刷牙的时间晚了。

6岁前不要让孩子自己刷牙
孩子的牙齿问题,很多都是由于错误的刷牙方式导致的。那么,怎样刷,才是刷对了呢?
一个有意思的现象是,有很多家长是带孩子来医院看牙时,才发现自己几十年的刷牙方式竟然是错的。
正确的刷牙方法,推荐巴氏刷牙法(点击下方视频):
这个方法不仅适用于孩子,也适用于成人。
那么问题来了:这个方法,孩子真的能掌握吗?
显然很难。
孩子6岁前,最好不要让他们独立刷牙。因为刷牙是一个精细动作,而孩子在6岁前,手指灵活度有限,很多时候并不能精确地完成全方位的刷牙,很可能是在进行无效刷牙。
美国牙科学会建议,家长应该帮助孩子刷牙到6岁。
等孩子6岁以后,家长再引导他独立、有效刷牙。


孩子口腔问题,预防是关键
含氟牙膏,是目前最方便有效的预防龋齿的方法,能够起到保护牙齿的作用。
孩子一开始用牙膏,就可以选择含氟牙膏。但不同年龄段的孩子,牙膏用量上有所区别。
3岁前,用米粒大小的牙膏量来刷牙;
3岁后,用豌豆粒大小的牙膏量刷牙,直到6岁。

需要注意的是,不要让孩子使用成人牙膏。成人牙膏的氟含量较高,如果孩子不小心吞咽,对健康不利。
除了使用含氟牙膏清洁牙齿,窝沟封闭也是预防龋齿的有效方法。
窝沟封闭,就是在牙齿表面窝沟处涂抹一层粘结性较强的成分,让其在牙齿表面形成一层保护膜。
做了窝沟封闭之后,细菌和酸性物质无法进入窝沟对牙齿造成侵袭,从而达到了预防窝沟龋的目的。


饮食习惯要注意
日常生活中,家长应该帮助孩子养成良好的饮食习惯。
主要遵循以下几条:
1、在保证孩子生长发育时营养平衡的前题下,减少含糖食物的摄入量,少吃饼干、糕点、果酱等精制含糖软性食物。
2、过度使用奶瓶对口腔健康不利。1岁以上的孩子,应减少夜间喂奶的次数,逐步过度到夜间不喂奶。1.5-2岁孩子应适时停用奶瓶,改用杯子喝水和饮奶,避免夜间哺乳。
3、养成良好的饮食习惯,定时定点按规律吃饭,多吃水果蔬菜等粗纤维天然食品。因为纤维性食物,在咀嚼过程中对牙面有磨擦和清洗作用,医学上称为“自洁作用”。
4、晚上刷牙后,不能再吃东西。
总之,帮助孩子养成健康的生活习惯,不仅对孩子牙齿有益,也对全身健康有益。

预防龋齿很重要,给大家总结一下就是这三点:
引导孩子正确刷牙;
养成健康的喂养习惯;
定期检查,及时防范。
建议半年看一次牙医。不要等到孩子牙齿出问题了,才去找医生。
最后,祝孩子们都能拥有一口漂亮整齐的牙齿!


参考资料:
光明网《3岁孩子满口烂牙,牙根都黑了!医生痛斥家长糊涂》
https://new.qq.com/omn/20201012/20201012A029AR00.html
人民日报《身体中最坚硬的部分,你爱对了吗?快收好这份护牙指南!》
https://m.weibo.cn/status/4341079425869983?wm=3333_2001&from=10B9193010&sourcetype=weixin&featurecode=newtitle
澎湃在线《儿童龋齿可能是因为这3件事~》
https://m.thepaper.cn/baijiahao_14420602
—— End ——

作者:徐典典,育儿专栏编辑,专注育儿和儿童心理学研究。部分图片来自网络,版权归原作者所有。

内容来源网络,如有侵权,联系删除,本文地址:https://www.230890.com/zhan/17087.html
