
很多家长说孩子不刷牙,什么都不管用。记得在微博上看过孙俪分享的一个绝招:孙俪在微博上分享:“我看了一部关于高糖生活的纪录片,里面一个男孩只有6岁。因为吃了太多多糖,麻醉拔了七颗牙,疼死我了!今天在讲孩子不认真刷牙的事实时,我给他们看了关于这个男孩的纪录片。妹妹看完了,哥哥捂着眼睛不敢看很多图.但是!今天晚上,这两个人认真刷牙,都可以拿来当教科书示范。”

可乐的观点是,孙俪也说,“我有个想法。明天我就把那些关键图片打印出来贴在浴室的镜子上,这样我就不用早晚各说一次,用事实证明了!”哈哈哈哈,相信经过这一次教育(恐吓),这两个宝宝再也不会掉以轻心的刷牙了。
娘娘腔说的纪录片叫《高糖陷阱》,讲述了高糖饮食对现代人,尤其是儿童的健康影响。需要的家长可以找一下,带着孩子一起看看。孩子不刷牙,这让很多家长很头疼,也有人不把它当回事,以为反正要换牙。
其实宝宝的乳牙没有得到很好的保护,恒牙也很容易受到影响。你要知道牙齿的好坏会影响一个人一生的健康~那么如何让宝宝乖乖的刷牙以及如何让宝宝从小就拥有健康的乳牙,你一定要知道以下关于宝宝乳牙的七个道理~
最伤宝宝牙齿的竟然不是糖,而是......
朋友家的孩子很少吃糖,刷牙也很好,但是3岁多了还是有蛀牙。我的朋友快要崩溃了。后来在网上随机搜索发现,很多家长都有过这样的烦恼:

妈妈们都知道含糖量高的食物容易蛀牙,比如糖果、巧克力和饮料,她们通常会注意让宝宝远离她们。但是糖果会导致龋齿,但光说糖变色是不够的。
最近的研究发现,用糖和淀粉烘焙的食物被细菌分解后更容易导致蛀牙!饼干、蛋糕、威化饼等粘稠的甜食危害最大。如果你只是简单地漱口,就很难洗掉这些粘在牙齿上的食物残渣。
这些残留在牙齿表面和小裂缝上的食物残渣很快就会发酵并转化为酸性物质。婴儿牙齿的珐琅质还没有完全成熟,耐酸、耐腐蚀性能远低于成人,特别容易被腐蚀,进而发生龋齿。所以,吃了这些又甜又粘的东西后,一定要及时刷牙,或者仔细漱口。然后,妈妈要仔细检查宝宝牙齿上是否有食物残渣,确保干净。

lign: justify">牙膏一定要选含氟的
有些妈妈担心宝宝咽掉含氟牙膏,会对健康有影响。其实并不用太担心。只要根据宝宝的年龄选择适龄的牙膏,控制好用量,就不用担心会被宝宝吞咽掉,反倒是不含氟的牙膏只能起到清洁作用,不防蛀牙!
宝宝出第一颗牙开始,就要用含氟牙膏刷牙了:必须使用适合宝宝年龄的婴幼儿专用牙膏;3岁以内的宝宝,用米粒大小的牙膏量;3岁以上会吐出牙膏的宝宝,用豌豆大小的牙膏量。
很多父母可能都担心含氟会致癌,所以经常“谈氟色变”,实际上,如果正确运用,氟可是蛀牙的“有利杀手”。
不仅可以抑制口腔中的细菌生长,阻止它们对牙齿、齿缝中的残余食物进行发酵,还有助于修复刚开始脱钙的牙齿,形成保护、坚固牙齿,是一种预防龋齿非常有效的方法。

千万别让孩子自己刷牙
大多数妈妈都知道了从小给宝宝刷牙等的重要性,但是有的妈妈想从小锻炼宝宝自己的事情自己做,就让小宝宝自己刷牙。
心是好的。但由于孩子的精细动作发育还不到位,刷牙这么需要技巧的事情很难正确操作,也就起不到有效清洁牙齿的目的了。蛀牙就在所难免了。所以,6岁以前,宝宝的牙齿,都需要爸爸妈妈给刷干净;为了培养好习惯,可以让宝宝先自己刷,爸妈给刷第二遍。

别一直给孩子吃“软饭”
很多父母怕孩子嚼不动,咬不碎,所以一直给孩子吃很软烂的食物。殊不知,牙齿也是需要锻炼的!长期吃过于软烂的食物,牙床的肌肉得不到足够锻炼,会严重影响牙齿和颌骨的发育。
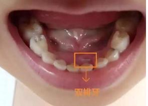
最近新闻里常说的双排牙(又叫乳牙滞留)就是因为孩子吃的太精细。咬合动作太少,乳牙受到的压迫不够,于是还没等乳牙掉下来,恒牙就已经长出来,造成牙齿的畸形生长。所以,一定要循序渐进地给孩子增加食物的硬度,让孩子的牙齿和咀嚼肌得到锻炼。

喝着奶睡觉,对牙齿伤害大
很多宝宝都有边吃边睡、频繁夜起吃奶,甚至含着奶嘴睡觉的习惯。我们大人都知道睡前要刷牙,却忽视了孩子的牙每晚这样泡在奶里,其实就是在给口腔细菌提供丰盛晚餐,不断制造酸来腐蚀牙齿。长期如此,宝宝的前牙会出现环状的黄、黑色斑块,甚至缺损等问题,医生把这种由夜奶导致的牙齿问题叫做“奶瓶龋”。
预防因奶瓶出现的各种问题,最有效的办法就是 戒!奶!瓶!宝宝七八个月的时候,就可以开始训练用杯子喝水了;十个月后就可以锻炼宝宝独立使用杯子;一岁以后,因为宝宝动作协调能力变强,可以完全脱离奶瓶,使用杯子喝奶了。

牙齿反颌(地包天)别等换完牙后再矫正
牙齿反颌是医学上的专业术语,其实就是我们常说的地包天。有些家长认为,孩子有了地包天,要等到牙齿换完再矫正才有效果。其实恰恰相反。等到孩子换牙后,此时再矫正就比较晚了。而不及时矫正的话,不但会影响孩子的咀嚼功能,还可能影响孩子的面部骨骼及肌肉发育,进而影响美观。

当孩子3~5岁可以配合矫正时,就应该及时就诊矫正了。牙齿就像小树苗,越小进行矫正,在牙齿上所施加的力越小,矫正的效果越好。此时矫正,一般3~6个月的时间,就会有很明显的恢复,儿童最好在不晚于7岁前进行正畸检查。

乳牙牙缝大,是好事
许多妈妈可能会发现,小宝宝的乳牙稀稀拉拉,牙缝特别宽。但其实在排除龋齿的情况下,乳牙阶段牙缝变宽是正常的生理特征,而且还是件好事。

因为再过几年,恒牙就会替代乳牙,但恒牙的个头比乳牙宽大,数量也比乳牙多(乳牙20颗,恒牙有28-32颗)。所以乳牙若是不留点缝隙给恒牙,换牙后,反而有可能出现恒牙排列不齐的问题。

当然因为牙缝大,食物残渣更容易留在缝隙里,相邻两个牙齿之间很容易出现牙虫,所以更要注意乳牙的清洁哦~
内容来源 | 综合整理自网络
责任编辑 | 问问
内容来源网络,如有侵权,联系删除,本文地址:https://www.230890.com/zhan/149293.html
