一个月前。
小刚像往常一样在家做作业。
突然地
他突然愣住了。
眼睛盯着前方。
右臂不由自主地微微摆动。
用右手抓住。
大约花了1分钟缓解。
小刚如释重负后精神没有恢复。
他甚至没有回应。
10分钟后萧才恢复意识。

在接下来的一个月里,小刚的症状反复出现,甚至上课时突然起床,几分钟后又回到教室,偶尔有回忆。最近一周反复出现这种症状,伴有双耳听力下降。小刚出现症状的原因是什么?

小刚来到佛山市第一人民医院功能神经外科.详细询问病史后,功能神经外科主任医师王国夫认为首先要考虑癫痫的症状,安排小刚做了远程视频脑电图检查。

视频脑电图检查后,全脑有明显的脑电图异常和弥漫性放电,提示病灶广泛,以右侧颞区为主,可诊断为癫痫,可用抗癫痫药物治疗。但是,负责的医生还是觉得有点不对劲。他觉得孩子的情况可能没那么简单,于是向同一个科室的儿童神经外科刘源主任咨询。

等等,这似乎不对。儿童癫痫科是儿童神经内科。为什么有小儿神经外科?这就要从功能神经外科的科室结构说起。功能神经外科的主要业务范畴就是针对神经外科功能性疾病开展外科治疗,主要指癫痫、帕金森病、三叉神经痛、面肌抽搐等。

癫痫是由于癫痫疾病的复杂性,不仅涉及用药治疗,还有脑电图检查与诊断、神经功能评估等多个方面,约20%的难治性癫痫患者还涉及手术治疗,功能神经外科的主要疾病,这超出了单个科室、神经科医生和神经外科医生的能力,
再加上脑电图的诊断医生和技师,才能搭建起一个癫痫诊疗的基本单元,大量的新技术涌现,专业治疗要求越来越高,就需要团队合作,共同作战了。

目前全国像这样的多学科团队不多,癫痫有近60%是儿童患者,这就还需要儿童神经内科医生的加入,这样的团队才算是基本完善,准确的说,构建一个癫痫诊疗单元最基本的构成有成人的神经内科和神经外科,儿童的神经内科,脑电图诊断医生和脑电图技师,这样才算是基本完善。
随着科室发展,科室还又增加了神经康复和神经功能测试的单元,这个基本就是plus版本了。鉴于科内现成的儿童功能评估和康复单元,还有儿童神经内科的加持,如果再有个儿童神经外科,既填补了整个神经外科的专业空白,又可以和科内现有的资源整合,于是在2020年的最后一个月,儿童神经外科也成立了,现在是pro+plus版本了!

儿童神经外科介入,抽丝剥茧找出隐藏病因
儿童神经外科医生诊查后,发觉小刚的头型有异常,明显是一个颅缝早闭的头型,马上安排拍个头颅平片进行确认。

片子中发现小刚的颅骨布满指压痕,确认肯定存在颅骨对脑组织的压迫,可以确定就是颅缝早闭。

颅缝早闭是由于婴幼儿颅骨骨缝发生了提前闭合所导致的一类疾病。刚出生时,婴幼儿的颅腔仅有成人的一半大,到6岁时才基本接近成人的颅腔体积,在这近6年内,颅骨骨缝是有步骤、有计划的逐步闭合,在闭合之前,相应的颅腔都是在保持着不断的生长,如果发生了提前闭合,就限制了颅骨生长,继而导致颅腔狭窄,将会对患儿的面容和脑组织发育造成不利影响。
小刚的头型就已发生了明显的异常,并且在颅骨上留下了明显脑组织受压的痕迹,这种压迫有很大可能就是导致小刚癫痫发作的原因。
于是给小刚进行了外显子基因的筛查,结果显示的确存在导致颅缝早闭的致病基因,同时并未发现有导致癫痫的基因存在,提示患儿的癫痫是后天继发的可能性极大,儿童神经内科和儿童神经外科的大夫继续调查患儿的发病历史,抽丝剥茧从海量记录中找到了患儿在1岁和4岁时留下的影像资料,回顾这些资料,颅缝早闭开始漏出了它的马脚……

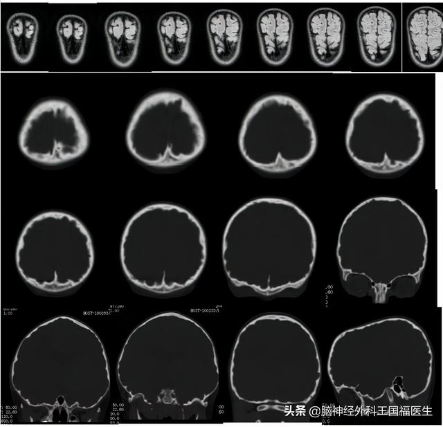
在患儿一岁时曾经因为“中耳炎”做过一次头颅CT检查,从这张片子分析,出现冠状缝和矢状缝,至少在能看到的部分层面上,是没有闭合的。

而在患儿4岁时,复查耳部CT,则可以看出头颅的外形已经开始改变,在颅骨内板上已经出现了对脑组织的压迫征象,这些像连续小锯齿一样的边缘,就是脑组织在坚硬的颅骨内板上压出来的痕迹。

而现在呢,明显的头颅已经呈前后径明显拉长的舟状颅,颅骨内板上已经布满了脑组织压迫所出现的压痕。

很快就为这位小朋友安排了手术,手术通过大面积松解颅骨解除对脑组织的压迫。

这是术后颅骨CT重建的影像

功能神经外科多学科合作优势彰显

术后小刚复查虽然还有癫痫波存在,但脑电异常的频率和位点已经明显减少,只用服用最低剂量的抗癫痫药物就能完全控制不发作,这只是术后3个月的复查结果,毕竟病情是一步一步好转的,远期的效果目前还在观察之中。
通过这个病例,展现了功能神经外科是一个多学科、多专业面的团队,从各个方面共同来解决医疗难题,如果这个孩子能早一点遇到我们,也许在癫痫发生之前就能发现解决问题。说是一个科,不如说是一个伪装成科的医疗中心,并且这一次康复团队还没出手。
现在的医学发展,广度和深度上已经同多年前无法同日而语了,对一个病人,往往一个人的知识面是无法解决的,单枪匹马的时代已经过去,这就迫切的需要专业团队来合作,正是顺应医学发展的潮流,在科室领导的远见卓识下,一点一点的发展成为目前的格局,多专业合作方面的优势明显,在今后的工作中将逐渐显示多学科合作的优越性。

内容来源网络,如有侵权,联系删除,本文地址:https://www.230890.com/zhan/135555.html
