良好的食欲和良好的身体状况对癌症患者来说非常重要,甚至关系到患者的生命。然而,在晚期,许多患者有称为恶病质(或恶病质)的并发症,这是一种以短期人体重下降、厌食、营养不良、乏力、衰竭、脂肪和肌肉群进行性消耗和脏器功能损害.为特征的综合征

据临床资料显示,约50%的晚期癌症患者和80%的晚期癌症患者存在恶病质,而这种并发症也是导致癌症患者体质虚弱、死亡率高的重要因素。
因此,治疗恶病质,防止其进一步发展,是患者实现肿瘤长期生存,延长生命的前提。
近年来,很多医生都提倡中医结合治疗癌症恶病质,因为中医在改善食欲和调理身体方面有明显的优势。中医如何应对这种并发症,减轻患者痛苦,提高生活质量,延长生存期?

00-1010从病因病机来看,癌症恶病质的发生与脾肾关系密切。由于各种原因,导致脾肾失养,进而导致五脏虚损,导致人体气血阴阳亏虚,最终发病。
祖国医学认为,肾是人体的先天之本,脾是后天之本。意思是肾是人的生命之本,脾胃与饮食密切相关,是人体营养的重要来源,所以脾是后天之本。当脾肾出现问题时,长期发展往往会累及其他脏腑,导致营养不良、消瘦乏力。
因此,针对不同患者的病情,应分别采用益气养血、滋阴温阳的治疗方法,同时考虑结合五脏,增强治疗的针对性,往往能取得较好的效果。

乐启生中医团队结合临床诊疗经验指出,在癌症恶病质治疗首先要强调补益脾肾在治疗中的主导作用,只有脾肾先后天之本不败,则能促进各脏虚损的恢复。‘s具体辨证时,要以气、血和阴阳为关键环节,区分脾、肾、气、血和阴阳哪个虚是治疗的主要方向;用药要注意两点:一是补血必须与补气益气生血相结合;二是在补阴补阳中,注意阴中求阳,阳中求阴。

其次,还要重视原发病的治疗,即抗肿瘤中药的应用。目前西医治疗癌症恶病质主要采用“最佳支持治疗”。另一方面,中医采用辨证论治,对患者进行个体化治疗。在治疗恶病质的同时,还可以通过多靶点、多机制治疗原发性肿瘤,可以达到降低放化疗副作用、抑制肿瘤复发转移、姑息治疗等目的。

这样,攻补并举,辨证论治,结合西医支持治疗,可以取得良好的临床效果,达到缓解患者痛苦,提高其生活质量,延长恶病质患者生存时间的目的。
补益脾肾,祛邪抗癌,应对癌症恶病质!
2020年4月,60岁的崔女士于4年前接受左乳腺癌改良根治术,术后化疗6个疗程,此后定期复查。
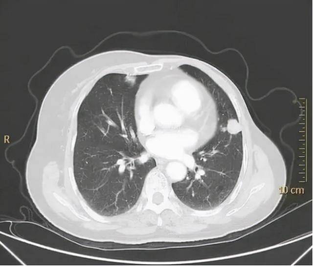
2020年3月,崔女士因反复刺激性干咳到医院就诊。胸部CT复查发现双肺多发圆形结节状阴影,最大的位于左肺下叶,直径约1.5cm,认为双肺多发转移癌。
。

显然,崔女士病情进展了,而由于此时崔女士体质较差,难以耐受化疗,当地医院仅予以对症支持治疗。崔女士于是前来就诊,寻求中医的帮助。
来诊时,可见患者咳嗽顽固,咯吐少量白黏痰,口苦咽干,心情烦躁,疲惫盗汗,极度消瘦,体重减轻,睡眠和食欲差,大便偏干,小便尚调,舌黯红,苔薄白微腻。

考虑患者乳腺癌肺转移,呈现恶病质象。情志不舒,肝气郁结,气郁化火,煎熬肾阴,故心烦寐差、盗汗、便干;术后癌毒暗伏,侵袭肺脏,肺气上逆而咳。木郁克土,脾虚生痰,运化失司,故极度消瘦,体重减轻。因此,病位在肺、肝,涉及脾、肾,病性属本虚标实,标实为主,辨证属肝郁气滞,痰热蕴肺。治疗当疏肝理气、清肺化痰为主。
拟方:炒白芍、玄参、冬凌草、山茱萸、炙鳖甲(先煎)、路路通、猫爪草、王不留行、补骨脂、莪术等。每日1剂,水煎服。

二诊:患者自述服药后咳嗽减轻,饮食增加,口苦咽干减轻,仍睡眠欠佳。调整中药组方,嘱继续服药7剂。
三诊:患者口苦咽干不显,睡眠稍有改善,调整中药组方,嘱继续治疗。
此后以上方加减治疗至今1半年余,患者情况良好,体重稍有增加,CT复查病情稳定。

总的来说,恶病质是严重影响患者生活质量及是否耐受放化疗等抗癌治疗的主要因素,可发生于任何肿瘤及肿瘤的任何时期,肿瘤患者最好在未发病时给予治疗,比如当食欲差,营养不良时予以重视,及时调理改善食欲和营养吸收情况。此外,一旦发生恶病质,应及时治疗,延缓该并发症的进展。
本病例来源于患者分享,仅供参考,治疗需因病而异,因人而异,如想了解更多抗癌详情的朋友可点击我头像进行私信。
内容来源网络,如有侵权,联系删除,本文地址:https://www.230890.com/zhan/130055.html
