高血压似乎是中老年人的代名词,不仅是血压问题,对健康也很敏感。甚至到了中年以后,有些人还不断的小病缠身,常年吃药,疾病一直困扰着他们。
虽然说高血压控制得很好,对身体没有伤害,但是血压高或低随时都有可能引起并发症,不小心就会有生命危险。

有高血压的人群,一定要注意3种并发症,随时有被夺走生命的危险
第种:脑出血
可以说,在高血压人群中,并发症是最高的,主要是由于血管弹性恶化和衰老引起的。

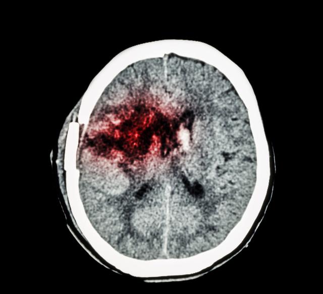
第种:脑梗:
这种并发症比较严重。随着年龄的增长或饮食习惯的改变,身体的血管会变得陈旧狭窄,无形中形成血栓,进而导致高血压。
第种:心力衰竭
高血压发生后,我们的心肌代偿性肥大,直接的影响就是导致我们的心肌缺血,从而导致心力衰竭。

就像我刚才说的,除了常年的药物控制,饮食的健康可以说是血压高低的风点。比如盐的摄入,烟酒都会给高血压患者带来很大的困扰,所以一定要注意自己的日常饮食和生活习惯。
但也要注意,高钠饮食也是血压升高的“主要原因”。

什么是高钠饮食?
也就是说,当我们日常饮食中钠的摄入量很高的时候,对身体会不会有什么影响,尤其是对高血压患者来说?高钠饮食对血压有影响吗?
体内钠摄入过多会导致钠氢积聚,导致血容量增加。当出现高水平的钠离子时,会导致细胞水肿,血管内平滑肌细胞肿胀,外周血管阻力增加,血管腔变小,从而导致高血压。
如何判定我们已经高钠饮食呢?
我们可以参考《中国居民膳食营养素参考摄入量》。对于18岁以上的成年人来说,每天的钠需求量约为1500毫克。如果超过这个范围,就要注意高钠饮食。

这种“食物”高含钠离子,能少吃点就少吃点
这种食物,无论在北方还是南方,都是一种受欢迎的食物,那就是面条。说面条含钠离子高可能是片面的。这里说的面是很多生意。为了改善面条的口感,这些食物中会加入大量的盐,即使是100克的面条也含有500毫克左右的钠,但此时的人们却感觉不到咸味。

日常生活中,很多自然生长的蔬菜和水果其实都含有钠离子,基本可以满足身体的日常需求。但是我们需要小心的是加工产品。无论是对于产品的外观还是口感,在制作过程中添加过多的钠,对身体健康都是无害的。
还要提醒大家,你平时是在买菜,不妨看看营养表。
高血压的饮食原则是什么?
正餐有营养。
注意补钾。
牢记低钠饮食。
饭前饭后多吃水果蔬菜。
记得多喝水。
内容来源网络,如有侵权,联系删除,本文地址:https://www.230890.com/zhan/115104.html
