
我院小儿内科儿童电子支气管镜开展例数创新高
在过去的两个月里,我院儿科门诊人数急剧增加。今年,大多数患者出现反复发热、咳嗽等呼吸道感染症状。去诊所的儿童主要是学龄前和学龄儿童。经过完善病原学和影像学检查,90%以上的患儿是肺炎支原体感染引起的肺炎。在抗感染的同时,通过科室团队的努力,积极开展电子支气管镜检查和治疗,缓解了气道梗阻,迅速控制病情,缩短了住院时间,避免了支气管扩张、闭塞等肺部后遗症的发生。9月和10月,儿科共完成儿童支气管镜检查212例,创同期新高,缓解了更多患儿的疾病痛苦。
01
肺炎支原体流行病学特点
肺炎支原体(MP)主要通过飞沫传播,一年四季均可发生,尤其是冬季,每3-7年流行一次,常在幼儿园、学校等人群中爆发。

02
肺炎支原体肺炎典型临床表现
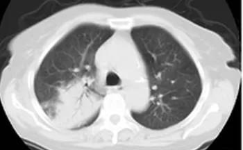
肺炎支原体肺炎主要临床表现为反复发热、咳嗽,肺部体征与临床表现及影像学不一致。影像学表现包括肺间质浸润、肺叶实变和肺门淋巴结肿大。部分患儿有多系统受累,如麻疹样或猩红疹、心肌炎、溶血性贫血、心肌炎或心包炎、格林-巴利综合征等。

03
肺炎支原体肺炎(MPP)如何治疗
肺炎支原体肺炎首选大环内酯类抗生素,临床首选阿奇霉素,也可以使用红霉素。8岁以上儿童可选择盐酸米诺环素或多西环素,同时使用吸入性皮质类固醇进行雾化吸入。难治性MPP用肾上腺皮质激素治疗。肺不张和肺实变吸收不明显的患者可采用电子支气管镜进行治疗。
目前,支气管镜技术是诊断和治疗呼吸系统疾病的有效手段。支气管镜在病因病理、气管支气管结构异常的诊治、清除气道阻塞等方面具有独特的优势。

04
选择支气管镜治疗的指征:(1)经常规检测和治疗,疗效差,病原体不明,怀疑感染特殊病原体、混合病原体或耐药菌。(2)非感染性原因可能并存,如气道异物、新生物、气道狭窄等。(3)有明显气道阻塞征象时:影像学提示肺不张、气道阻塞引起的单侧肺气肿、纵隔气肿、单侧或双侧肺实变,尤其是支气管充气征、树芽征消失等小气道疾病。(4)肺炎支原体、腺病毒、流感病毒等感染或某些重症细菌性肺炎有梗阻迹象。(5)使用抗感染药物。
物治疗后症状、体征虽有好转,但2周后影像学检查提示病灶吸收<50%者。
儿童做支气管镜安全吗?

我们以最专业的职业技术,最高超的职业素养,最优质的医疗服务,为每一位患者祛除痛苦,带来健康。

儿童肺炎的预防
01保持室内通风,减少被动吸烟。有的家长问“我的宝宝一个月都没有出门,怎么会得肺炎?”,家中其他成员的外出,很有可能将病菌带回家中,所以要经常开窗通风换气。
02尽量不去人多的公共场所,比如游乐场、电影院、饭店等,因为人员多,空气不流通,近距离接触容易感染。
03加强户外运动,提高对气温变化的适应能力,避免穿太多太厚,造成孩子运动后出汗较多受凉。
04
咳嗽时注意,用纸巾捂住口鼻,用后的纸巾包裹放入垃圾桶,最后洗手。

05科学佩戴口罩,注意手卫生,避免交叉感染。
06膳食应搭配合理,注意补充蛋白质,多吃蔬菜、水果等富含维生素的食物。饮食对于儿童肺炎的预防也是很重要的。
希望家长能够认识肺炎、了解肺炎,发现宝宝咳嗽时间长,并且加重,高热难退,呼吸急促,精神萎靡,一定要及时就诊。
内容来源网络,如有侵权,联系删除,本文地址:https://www.230890.com/zhan/105309.html
